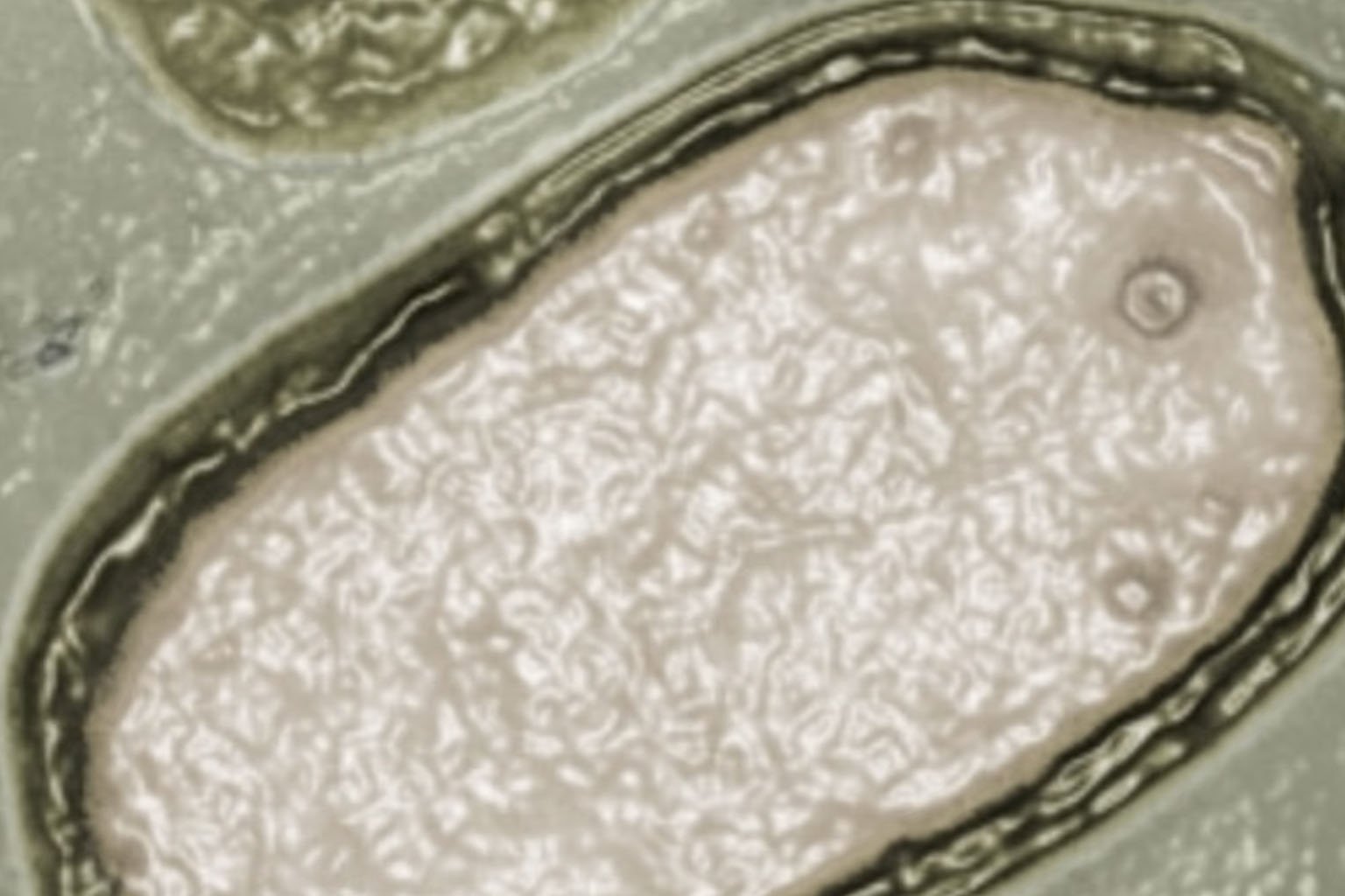
Scientists have uncovered a hidden world beneath the waves—hundreds of newfound giant viruses that may be quietly reshaping ocean life and global ecosystems. These enormous viruses, bigger and more complex than many cellular organisms, challenge our …
scientists discover hundreds of new giant viruses quietly shaping ocean ecosystems and marine life

