Breaking
21 Dec 2025, Sun

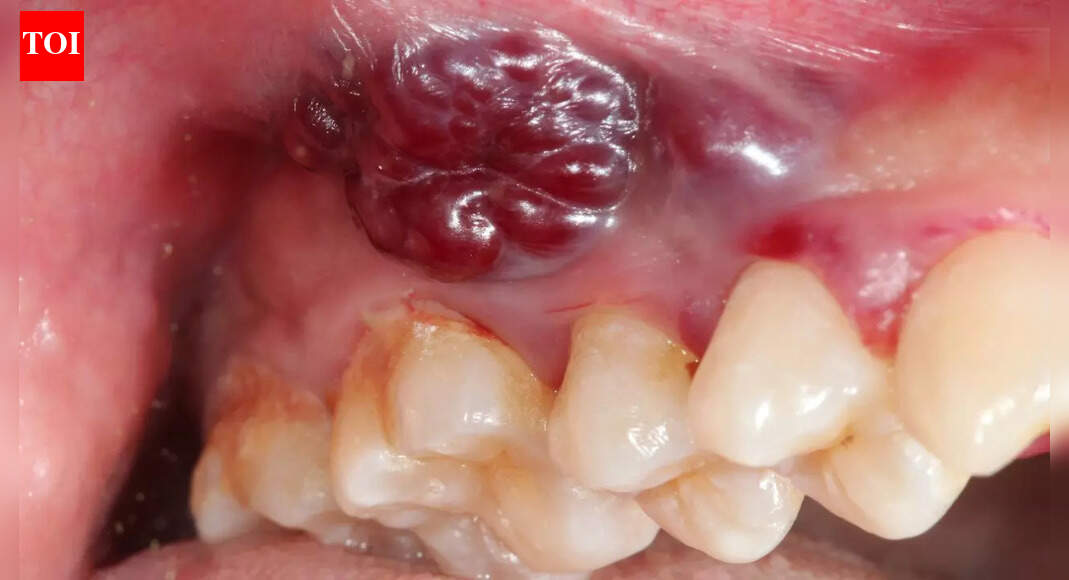
Indian women and growing oral cancer cases: Why a non-healing mouth ulcer could be the earliest red flag

A persistent mouth ulcer, often dismissed, is a critical early warning sign of rising oral cancer rates among Indian women. This often painless symptom, lasting over two weeks, demands immediate medical attention. Lifestyle changes and a lack of awar…

Leave a Reply

Your email address will not be published. Required fields are marked *